大冬天中暑昏迷?紧急警示,危险环境不宜久留
近日,有报道称有人在寒冷的冬天出现中暑昏迷的现象,这种情况令人困惑,专家提醒,某些特殊环境下,即使气温较低,也存在中暑的风险,出现类似症状的人应尽快离开当前环境,寻求医疗救助,以确保健康安全。
寒冷的冬天
泡个温泉、蒸个桑拿
舒适度直接拉满
但你知道吗?
在温泉池、汗蒸房、暖气房等
温暖密闭环境内
人体可能因散热障碍
出现中暑症状
严重时甚至会发展为热射病
泡温泉突然昏迷?
热射病并非“夏季专属”
“我接诊过冬天泡温泉后昏迷就医的热射病患者。” 近日,福建中医药大学附属第三人民医院急诊科副主任吴文思在接受采访时介绍,该患者在温泉池中长时间浸泡,出现头晕、乏力直至昏迷,经诊断正是热射病。
吴文思查看患者情况。图源:人民日报健康客户端
冬季为何也会得热射病?
热射病是人体在高温、高湿环境下,因体温调节功能失衡,产热大于散热,导致核心温度迅速升高(通常超过40℃),并伴有谵妄、抽搐、昏迷等意识障碍及多器官功能损伤的致命性疾病。
不少人以为这种病只会在夏季户外劳作的人群中出现,但事实并非如此。
“热射病的本质是身体产生的热量,远远超过了它能散发的热量,导致热量在体内蓄积,与季节无绝对关系。”吴文思解释,“冬天虽然室外环境温度低,但在一些特殊情况下,人体的产热和散热平衡同样会被打破,尤其是当‘散热’这个关键环节出现严重障碍时。”来看一个案例。
双肺全白!竟是蒸桑拿惹的祸
2024年12月,浙江杭州,酷爱蒸桑拿的韩爷爷(化名)于午饭后前往洗浴中心。不料刚进去没多久,整个人就昏了过去并口吐白沫,周围人帮忙拨打了120,将他送入医院。
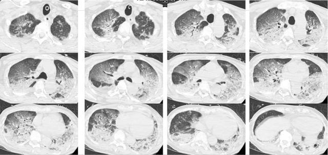
入院时,韩爷爷意识不清,血压、心率下降,医生随即为他安排头颅、胸部CT和肺血管CTA检查,结果显示,老人的双肺出现大面积白色影像。经会诊,韩爷爷被确诊为热射病诱发的肺水肿。
图源:潮新闻
冬季在什么情况下易诱发热射病?哪些人群又需格外警惕?
两大风险场景
●密闭的暖气房、温泉池或汗蒸室:冬季室内供暖后,尤其是北方地区,室温常维持在25℃以上。若长时间处于这种温暖、干燥且不通风的环境中,体温调节能力较弱、对温度不敏感人群可能在无意识状态下脱水,进而引发隐性体温升高。
●穿着过于紧身衣服高强度运动:冬季进行剧烈运动(如马拉松、高强度健身房训练)时,人体产生的热量会剧增。若穿着过于厚重、透气性差的衣物,汗水无法蒸发,在体表形成“保温层”,会严重阻碍散热。运动结束后,若未能及时擦干汗水、更换干爽衣物,且继续停留在温度较高的室内,患病风险同样会显著上升。
三类高危人群
●部分老年人因身体机能衰退,对高温及口渴的感知能力显著下降;
●部分神经系统疾病患者(如帕金森病、脑卒中后遗症),其体温调节中枢受损;
●长期服用特定药物(如抗胆碱能药物、利尿剂、精神类药物)人群,排汗和体温调节功能会受到影响。
即便在看似舒适的室温下久坐、睡眠,上述人群也可能不知不觉中出现体内热量蓄积的情况。
不慎“中招”怎么办?
可通过三步紧急处理方法来解决:
脱离环境
迅速让患者脱离高温、高湿环境,将其转移至通风阴凉处。
持续降温
持续对患者采取降温措施,如冷水擦拭皮肤、冰敷等。
防止误吸
当患者陷入昏迷,应将其头偏向一侧,保持呼吸道通畅,及时清除气道内分泌物,防止误吸。
热射病是体内热量“暴动”
冬季的“暖”也可能悄然致病
河南应急广播提醒
防范热射病
应打破季节思维定式
若冬季出现不明原因高热、昏迷
应警惕热射病风险
来源:国家应急广播综合人民日报


还没有评论,来说两句吧...